-
Raúl Rodríguez y Silvia Taulés nos cuentan su papel en 'La familia de la tele'
-
Kiko Matamoros y Lydia Lozano: "Nuestro público es de todas las edades y RTVE tiene un público muy pegado a las novelas, al que tenemos que captar"
-
Carlota Corredera y Javier de Hoyos: "La tele tiene que representar al público también y aquí están todos los perfiles posibles&quo;
-
Así se tomó Felipe VI que la Infanta Sofía no quisiera recibir formación militar
-
Belén Esteban: "Estoy emocionada, muy contenta y muy feliz por llegar a RTVE"
-
Manu Baqueiro: "Tuve como referente a Bruce Willis en 'Luz de Luna' para mi trabajo en la serie 'Perdiendo el juicio'"
-
Magdalena de Suecia responde a las críticas y explica por qué le han permitido lanzar su propio negocio
El 12 de noviembre se celebra el día mundial contra la neumonía, una enfermedad que todavía afecta a la respiración de muchas personas en nuestros días y la cual termina con la vida de alguna de ellas en algunas ocasiones.
Esta enfermedad que afecta a los pulmones es la que envía a más personas al hospital por infección. Por eso, en Bekia te contamos qué es exactamente la neumonía, cuáles son sus síntomas y tratamientos, para que puedas detectarla lo antes posible y ponerle cura cuanto antes.
¿Qué es la neumonía?
La neumonía es una enfermedad de la respiración que afecta a nuestros pulmones , ya sea por una infección causada por una bacteria o por virus, como el de la gripe o la varicela. Así pues, una gripe mal curada o en un niño o persona mayor puede generar una infección en los alveolos (donde se adquiere el oxígeno que pasará a la sangre y eliminando el cual debe ser expulsado hacia el exterior). Cuando los alveolos se encuentran infectados, la persona que sufra neumonía (o su bacteria más común en la respiración, el neumococo) tendrá dificultad para respirar y un fuerte dolor en el pecho.
Aunque esta enfermedad tiene cura, son muchos los casos que se registran al año y los casos de muerte se producen, principalmente, en infantes y personas de la tercera edad.
Sin embargo, dentro de las personas adultas, existen quienes tienen más peligro de sufrir neumonía, ya sea por obesidad o estar por debajo del peso deseado, el consumo de ciertos medicamentos, fumar en exceso o las enfermedades en las cuales bajen las defensas notablemente, como con el SIDA.
¿Cómo saber si tengo neumonía?
La persona afectada por esta enfermedad sentirá un fuerte dolor en el pecho y los pulmones, tendrá dificultades para la respiración y, quizás, respire muy fuerte a la vez que emite un pitido.
Otros de los síntomas de esta enfermedad son parecidos a los de una gripe: tos, mucosidad espesa y abundante, fiebre, mareos, frío y temblores y malestar en general.Por lo tanto, es muy importante que consultemos con un médico lo antes posible si estamos sufriendo estos síntomas, puesto que podría ser una gripe común o una neumonía, la cual es mucho más grave y necesita ser tratada de inmediato.
Los primeros síntomas de neumonía son dolor agudo en el pecho y dificultad para respirarDiagnóstico y tratamiento
Si la persona afectada tiene muchos dolores y dificultad para respirar, lo mejor es que se presente en el médico o urgencias lo antes posible.
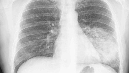
Una vez allí seguramente se le haga una radiografía para detectar si los alvéolos están llenos de líquido de infección, es decir, confirmar si el paciente padece neumonía. También le auscultará, le mirará la temperatura para comprobar que no tenga fiebre y determinará hacer más pruebas en función de lo avanzada que esté la infección.
La neumonía es especialmente peligrosa en niños y mayores de 65Cuando el médico haya diagnosticado que la persona sufre neumonía le tratará de urgencia con antibióticos intravenosos y oxígeno. Este tratamiento debe realizarse de inmediato y en el caso de que la enfermedad esté muy avanzada puede que peligre la vida del paciente, sobre todo si es un niño o una persona mayor a los 75 años de edad. Como es una enfermedad infecciosa y bacteriana se transmite por el aire y es muy fácil contagiarse, sobre todo en las escuelas o en las residencias de ancianos.
En los adultos quizás no se les ingrese, sino que se les pida tomar los antibióticos vía oral y se le estar de baja unos días en la cama, reposo absoluto y caliente para recuperar la salud y que sus pulmones vuelvan a funcionar perfectamente.
Algunos consejos para prevenir esta enfermedad de los alveolos son: beber agua abundantemente, tratar una gripe o un resfriado en cuanto comencemos a sentir los síntomas, acudir al médico ante cualquier dolor al respirar, lavarse las manos con asiduidad y evitar el consumo de agentes nocivos para nuestra salud respiratoria, como el tabaco o el alcohol.









