-
Raúl Rodríguez y Silvia Taulés nos cuentan su papel en 'La familia de la tele'
-
Kiko Matamoros y Lydia Lozano: "Nuestro público es de todas las edades y RTVE tiene un público muy pegado a las novelas, al que tenemos que captar"
-
Carlota Corredera y Javier de Hoyos: "La tele tiene que representar al público también y aquí están todos los perfiles posibles&quo;
-
Así se tomó Felipe VI que la Infanta Sofía no quisiera recibir formación militar
-
Belén Esteban: "Estoy emocionada, muy contenta y muy feliz por llegar a RTVE"
-
Manu Baqueiro: "Tuve como referente a Bruce Willis en 'Luz de Luna' para mi trabajo en la serie 'Perdiendo el juicio'"
-
Magdalena de Suecia responde a las críticas y explica por qué le han permitido lanzar su propio negocio
Son muchas las diferencias que se pueden encontrar entre las células cancerosas y las normales. Algunas de las diferencias son bien conocidas, mientras que otras solo se han descubierto recientemente y se entienden menos. Comprender cómo funcionan las células cancerosas de manera diferente a las células normales sienta las bases para desarrollar tratamientos diseñados para eliminar las células cancerosas del cuerpo sin dañar las células normales.
El ADN transporta genes que son el modelo de las proteínas producidas en el cuerpo. Algunas de estas proteínas son factores de crecimiento, sustancias químicas que le dicen a las células que se dividan y crezcan. Otras proteínas trabajan para suprimir el crecimiento. Las mutaciones en genes particulares (por ejemplo, las causadas por el humo del tabaco, la radiación, la radiación ultravioleta y otros carcinógenos) pueden provocar la producción anormal de proteínas. Se pueden producir demasiados, o no lo suficiente, o podría ser que las proteínas sean anormales y funcionen de manera diferente. El cáncer es una enfermedad compleja, y generalmente es una combinación de estas anomalías que conducen a una célula cancerosa, en lugar de una mutación única o una anomalía de proteínas.
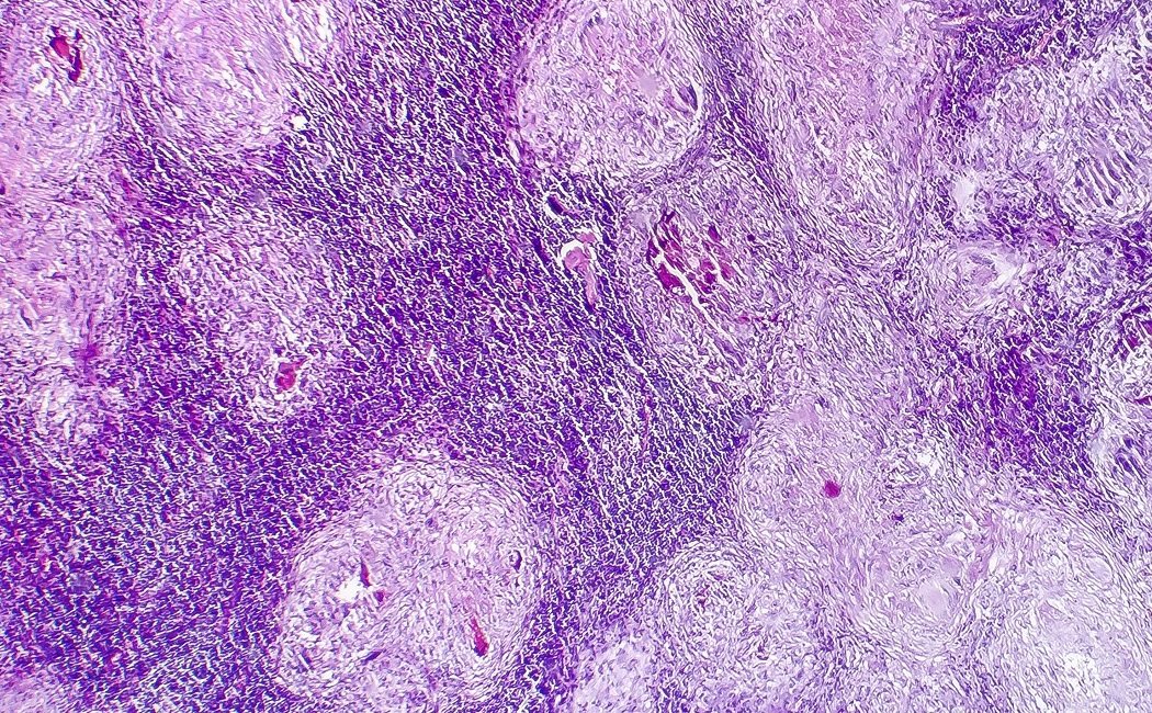
Células cancerosas vs. células normales
A continuación se presentan algunas de las principales diferencias entre las células normales y las células cancerosas, que a su vez explican cómo los tumores malignos crecen y responden de manera diferente a su entorno que los tumores benignos.
Las células normales dejan de crecer (reproducirse) cuando hay suficientes células presentesEl crecimiento
Las células normales dejan de crecer (reproducirse) cuando hay suficientes células presentes. Por ejemplo, si se producen células para reparar un corte en la piel, ya no se producen nuevas células cuando hay suficientes células presentes para sanar la herida, es decir cuando el trabajo de reparación está hecho.
Por otra parte, las células cancerosas no dejan de crecer cuando hay suficientes células presentes. Este crecimiento continuo a menudo resulta en la formación de un tumor (un grupo de células cancerosas). Cada gen en el cuerpo lleva un plano que codifica una proteína diferente. Algunas de estas proteínas son factores de crecimiento, sustancias químicas que hacen que las células crezcan y se dividan. Si el gen que codifica una de estas proteínas está atascado en la posición reproducirse por una mutación (un oncogén), l as proteínas del factor de crecimiento continúan produciéndose. En respuesta, las células continúan creciendo.
La comunicación
Las células cancerosas no interactúan con otras células como lo hacen las células normales. Las células normales responden a las señales enviadas desde otras células cercanas que dicen, esencialmente, "has alcanzado tu límite". Cuando las células normales "escuchan" estas señales, dejan de crecer. Las células cancerosas no responden a estas señales.
Las células normales se reparan o mueren (se someten a apoptosis) cuando se dañan o envejecenReparación celular y muerte celular
Las células normales se reparan o mueren (se someten a apoptosis) cuando se dañan o envejecen. Las células cancerosas no se reparan o no se someten a apoptosis. Además, las células cancerosas no crecen ni maduran a diferencia de las células normales.
Pegajosidad
Las células normales secretan sustancias que las hacen pegarse en un grupo. Las células cancerosas no producen estas sustancias y pueden "flotar" a lugares cercanos, o. a través del torrente sanguíneo o el sistema de canales linfáticos a regiones distantes en el cuerpo. Viajan por el cuerpo y se puede producir metástasis.
Son diferentes en apariencia
Bajo un microscopio, las células normales y las células cancerosas pueden verse muy diferentes. A diferencia de las células normales, las células cancerosas a menudo muestran una variabilidad mucho mayor en el tamaño de las células: algunas son más grandes de lo normal y otras son más pequeñas de lo normal. Además, las células cancerosas a menudo tienen una forma anormal, tanto de la célula como del núcleo (el "cerebro" de la célula). El núcleo aparece más grande y más oscuro que las células normales. La razón de la oscuridad es que el núcleo de las células cancerosas contiene un exceso de ADN. De cerca, las células cancerosas a menudo tienen un número anormal de cromosomas que se organizan de manera desorganizada.















